MENU

suburb

  • Loading ...
  • Loading ...

About International Smiles

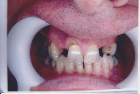
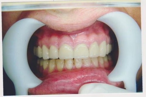
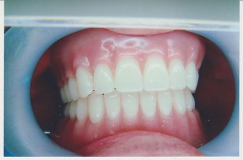
Dentists Australia welcomes International Smiles in Condon, for all their latest dental treatments and techniques, given gently by their caring team of dentists.

We are the leading Dental Tourism company owned and based in Australia. We organise and arrange dental appointments for our patients in Asia. We offer clinics in Bangkok, Phuket, Manila and Bali. Our patients save up to 80% on their dental treatment (flights and accommodation inclusive), of the price they have been quoted in Australia. OUR SERVICES: Quality assured dental clinics throughout Asia Internationally trained specialists Comprehensive range of dental services Experienced Case Managers Second to none personalised service Services also include: appointment transfers, dental consultation call, free nights accommodation, preferred travel agent and group tours

Facebook

Booking.com

International Smiles

Dentists Australia welcomes International Smiles in Condon Looking for a dentist, you'll get the latest dental treatments and techniques, given gently by our caring team of dentists. Our facility is bright and clean with fresh equipment held to the highest safety standards.

Is International Smiles in Condon your business on Dentists Australia, please claim your listing and subscribe to update your contact details and receive your phone calls and emails from your clients.

International Smiles

Click the below to email this business

Email Business

Thank you!

Your enquiry has been submitted

Please fill out the form below to send an enquiry to this business

Dentists Australia displayed beautifully on multiple devices

Unlock the Full Potential of Your Business with
Dentists Australia

  • Rectify inaccuracies in your listing via Dentists Australia
  • Turn on the Call Now Button to directly receive customer calls.
  • Enable the Visit Website Button to drive a continuous flow of traffic to your site.
  • Enable Email Button to effortlessly gather your clients' email addresses.
Claiming or adding your listing not only grants you access to missed call alerts and client emails via Dentists Australia but also connects you with over 500 partner sites. This strategic move amplifies your client engagement and boosts your visibility on Google, social media, and within the QLD Tourism ecosystem

copyright © 2026 Dentists Australia.   All rights reserved.

A B C D E F G H I J K L M N O P Q R S T U V W X Y Z